We’re celebrating World Snake Day today by highlighting three different species of snakes!

 

Tiger Rattlesnakes

Snake
snake

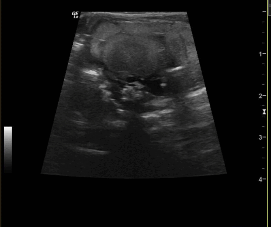
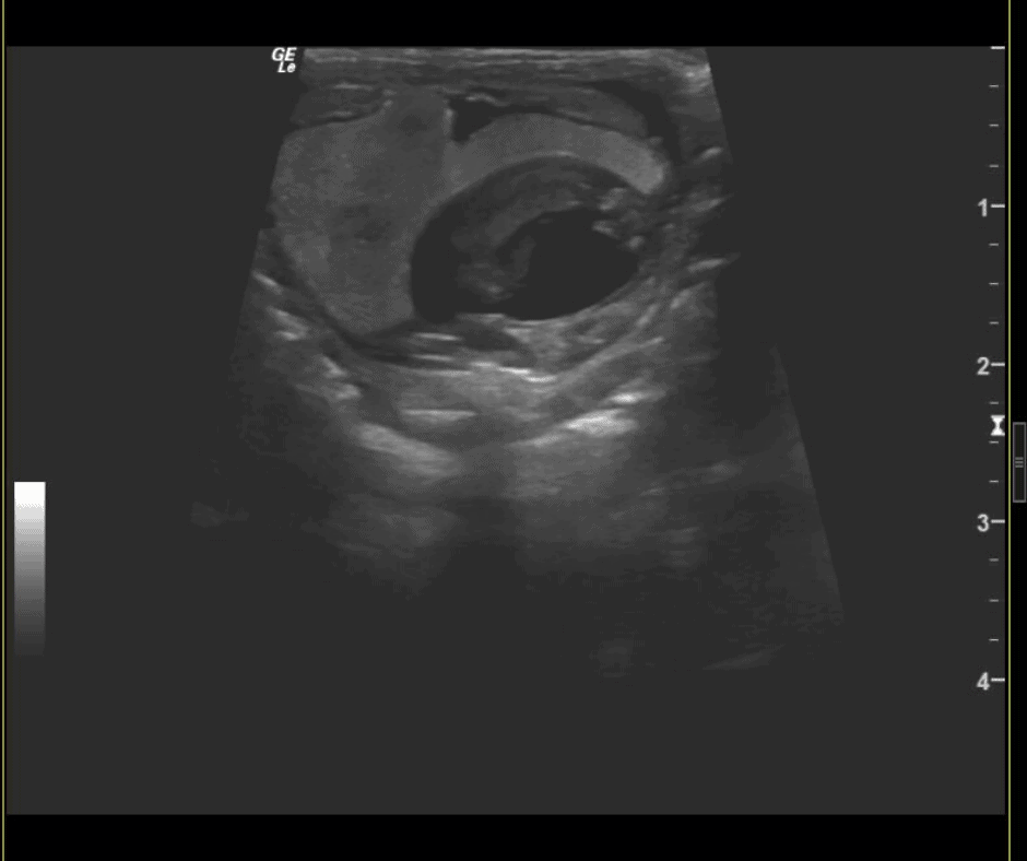
On July 4th we welcomed three tiger rattlesnakes. The gravid (pregnant) female tiger rattlesnake was taken to the Joyce Corrigan Animal Care Center twice for ultrasound exams. The ultra sound images from March 5 show the developing eggs, while the images from March 14 show the snake fetus.

Did you know, tiger rattlesnake babies are born fully developed and ready to take on the world!? In the wild, the babies may stay in the same area as the mother until the go through their first shed, but the parents do not raise the babies.

 

X-Rays
X-Ray

Rough-Scaled Pythons

Rough-scaled pythons get their common name from the rough, sandpaper feel due to each scale having a ridge along its center. These snakes are dark brown with pale brown blotches. Closer to the tail the pale blotches are large, which makes the pattern appear reversed.

Although they currently live behind-the-scenes, we are excited to be working with this species of snake and look forward to having them be visible to guests in the future.

 

Snake